2025年6月5日,皖南医学院第一附属医院朱少金教授和南京医科大学附属无锡人民医院毛文君教授团队共同合作,在Advanced Science(IF=14.1)发表了题为“WTAP Mediated m6A Modification Stabilizes PDIA3P1 and Promotes Tumor Progression Driven by Histone Lactylation in Esophageal Squamous Cell Carcinoma”的研究论文。
非常荣幸,辉骏生物产品生物素RNA pull down试剂盒(货号:FI8702)、F2-RNA pull down试剂盒(货号:FI8701),助该研究一臂之力。

研究摘要
食管鳞状细胞癌(ESCC)是一种常见的消化道恶性肿瘤,发病率高,死亡率高。许多研究表明,长链非编码RNA(lncRNAs)参与了各种类型肿瘤的发展。lncRNA PDIA3P1促进ESCC的进展,但其背后的分子机制尚不清楚。
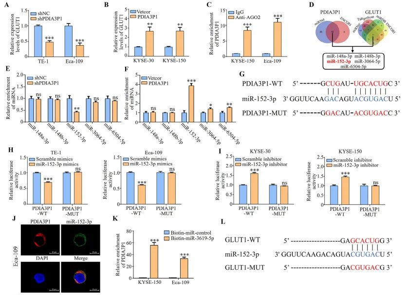
作者研究发现,lncRNA PDIA3P1在ESCC中高度表达。它可作为miRNA海绵吸附"miR-152-3p",进而降低GLUT1(葡萄糖转运体1)的 mRNA水平;它还通过结合下游靶点HK2(己糖激酶2)来阻碍其泛素化降解,促进糖酵解。高度活跃的糖酵解产生更多乳酸,进而上调组蛋白H4K8乳酸化(H4K8la)水平,促进BMP7(靶基因骨形态发生蛋白7)的转录,从而推动肿瘤进展。此外,WTAP介导的m6A修饰通过IGF2BP1依赖性识别来增强PDIA3P1的稳定性。
研究思路
研究发现lncRNA“PDIA3P1”在ESCC组织及细胞系中高表达,RNA-seq结果揭示其与糖酵解相关。
生物信息学分析了靶向PDIA3P1的5种miRNA,AGO2蛋白的RIP-qPCR实验证实miR-152-3p的富集最为显著,研究者使用辉骏生物“生物素RNA pull down试剂盒”进行miRNA pull down实验,发现PDIA3P1可以结合miR-152-3p(图1K)。

图1 PDIA3P1作为miR-152-3p的海绵调节GLUT1的表达
PDIA3P1敲低显著下调了糖酵解关键酶:GLUT1和HK2的蛋白水平,且二者是PDIA3P1的下游靶点。
机制解析发现,一方面,PDIA3P1通过竞争结合miR-152-3p,减少其对GLUT1 mRNA的降解,从而维持GLUT1的稳定性和表达水平,另一方面,PDIA3P1直接结合HK2,阻断E3泛素连接酶MARCH8对HK2的泛素化降解,提高其蛋白稳定性。这两方面共同激活了糖酵解关键节点,加速了乳酸的积累。
CUT&Tag和RNA-seq实验筛选出了H4K8la的潜在靶基因BMP7(骨形态发生蛋白7),功能验证实验发现,BMP7是PDIA3P1驱动ESCC进展的下游靶点,调控ESCC的肿瘤进展。
此前研究发现其他癌症中PDIA3P1出现了大量的m6A富集峰;SRAMP预测、MeRIP-qPCR显示、TCGA数据库分析、qRT-PCR实验发现PDIA3P1在ESCC中存在显著的m6A修饰,并且其表达水平与m6A甲基转移酶WTAP呈正相关。
研究者使用辉骏生物“F2-RNA pull down试剂盒”证实,PDIA3P1与WTAP之间存在直接相互作用(图2H,I),WTAP通过m6A修饰调控PDIA3P1的RNA稳定性,且m6A阅读器IGF2BP1是稳定PDIA3P1的关键因子,WTAP/IGF2BP1依赖的m6A修饰是PDIA3P1高表达的关键机制。

图2 PDIA3P1稳定性增强源于IGF2BP1对WTAP介导的m6A修饰的识别
使用产品:生物素RNA pull down、F2-RNA pull down试剂盒(由辉骏生物提供产品和技术支持)
产品介绍
货号 | 产品名称 |
FI8701 | |
FI8702 |

服务项目 | 服务内容 |
F2-RNA pull down | 制备RNA正义链和反义链探针、Western blot检测样本中的待测蛋白、RNA pull down捕获目标RNA及其结合蛋白 |
miRNA pull down qPCR | 合成生物素miRNA探针、qPCR检测样本中的待测靶RNA、miRNA pull down捕获miRNA-靶RNA复合体并检测(实验组、对照组) |
服务优势
辉骏生物,10年专注分子互作和蛋白研究,专业提供蛋白、核酸互作产品和技术服务。辉骏自有蛋白质检测平台,擅长互作产物等微量蛋白的质谱鉴定及生物信息分析。

©2011-2026 广州辉骏生物科技股份有限公司 主营业务:RNA pull down DNA pull down GST pull down CoIP LC-MS/MS TAP-MS 抗体测序 版权所有 粤ICP备19156356号 | 网站地图