当前位置:首页 > 新闻动态 > 公司新闻 > 「辉骏客户文章」Cell Rep Med(IF=10.6)| RIP试剂盒助力LTA4H通过靶向HNRNPA1/LTBP1/TGF-β轴抑制肝癌发展
公司新闻行业前沿促销优惠
「辉骏客户文章」Cell Rep Med(IF=10.6)| RIP试剂盒助力LTA4H通过靶向HNRNPA1/LTBP1/TGF-β轴抑制肝癌发展
发布时间:2025-08-04 15:16:30作者:辉骏生物-fitgene

2025年3月7日,复旦大学附属肿瘤医院/海军军医大学第三附属医院/国家肝癌科学中心王红阳院士、陈磊研究员等在Cell子刊Cell Reports Medicine上发表了题为LTA4H Improves Tumor Microenvironment and Prevents HCC Progression via Targeting HNRNPA1/LTBP1/TGF-β Axis的研究论文。该研究表明,LTA4H通过靶向HNRNPA1/LTBP1/TGF-β信号轴,改善肿瘤微环境并阻止肝细胞癌(HCC)进展。


使用产品:RIP试剂盒由辉骏生物提供产品和技术支持

Image



Image
01

究摘要


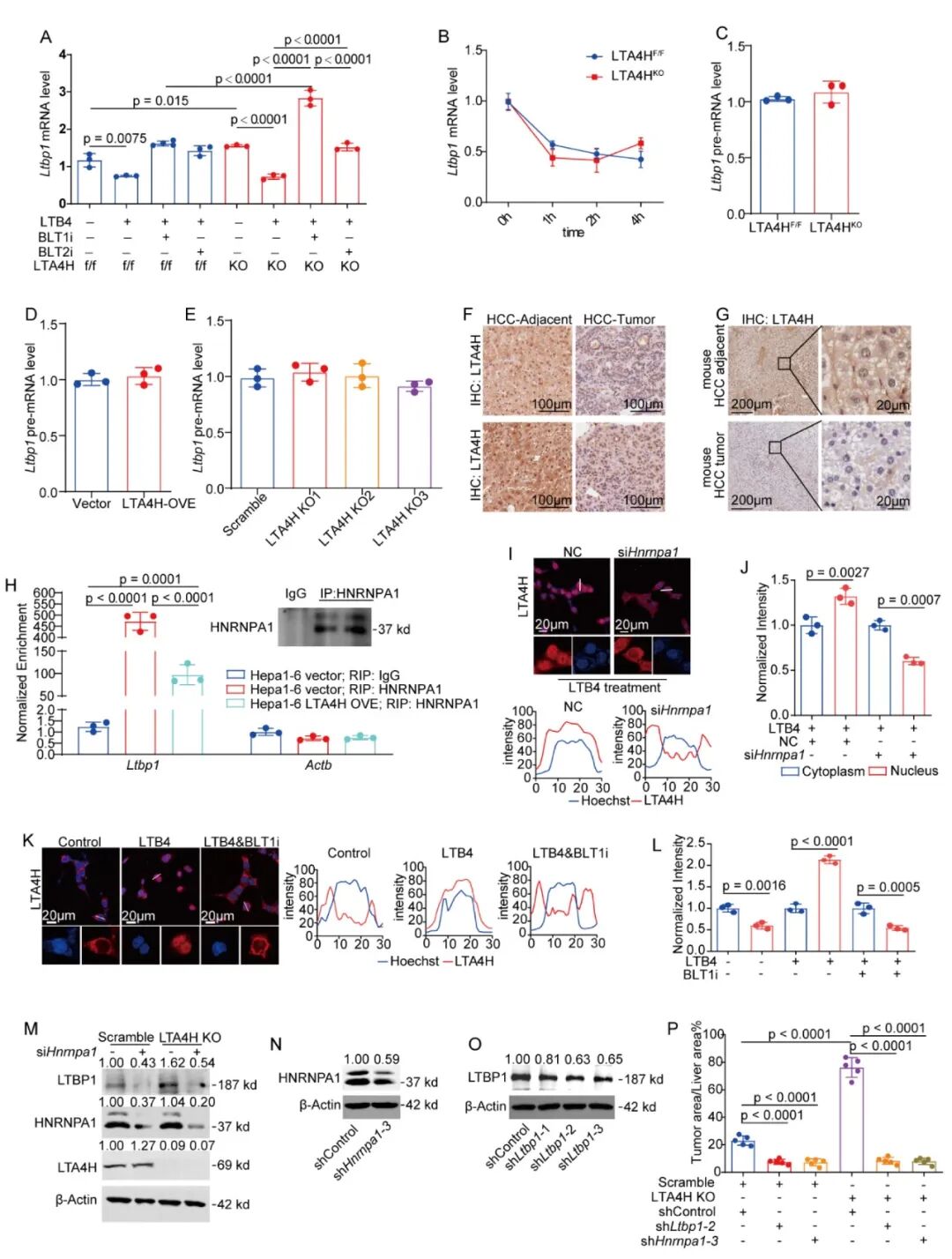
白三烯A4水解酶(LTA4H)是一种炎症介质,因其在慢性肺部疾病和各种癌症的发展中所起的作用而受到关注。研究强调了LTA4H在肝细胞癌(HCC)发生和发展中的保护作用。LTA4H在临床和小鼠HCC肿瘤中下调。LTA4H缺乏通过抑制JNK活化加重肝细胞损伤,并通过上调LTBP1表达和下游转化生长因子β(TGF-β)的分泌和活化,促进CD206+巨噬细胞极化。


机制研究表明:LTA4H抑制LTBP4表达,可能是通过与HNRNPA1直接相互作用,也可能是通过磷酸化HNRNPA1来抑制LTBP4表达。LTA4H缺乏症患者预后差,且免疫治疗耐药。靶向TGF-β和PD-1的联合治疗可显著提高LTA4H敲除Hepa1-6肿瘤的免疫治疗耐药性。


研究结果揭示了LTA4H在调节肿瘤微环境中的作用,并为LTA4H缺陷HCC患者的潜在诊断和治疗策略提供了见解。



Image
02

究路线

01

RT-PCR和WB检测:LTA4H在HCC肿瘤中下调,且与LTBP1的表达呈负相关;

02

CoIP-MS和功能分析:CoIP-MS筛选出46个蛋白,功能分析进一步选定了TUBA4A和HNRNPA1,而其中的HNRNPA1作用靶标刚好有LTBP1;

03

RIP-qPCR实验:LTA4H的过表达减弱了HNRNPA1蛋白与其调控靶标LTBP1 mRNA的结合;

04

磷酸化实验表明:LTB4H诱导HNRNPA1磷酸化,进而影响HNRNPA1与LTBP1 mRNA的结合。

Image


常荣幸,辉骏生物产品Protein A/G RIP试剂盒(原货号:FI8707,更新后的货号:FI8709),助该研究一臂之力。


Image



Image
03

产品介绍


货号

产品名称

FI8709

RNA Immunoprecipitation (RIP) Kit, Protein A/G Magnetic Beads

FI8802

Co-Immunoprecipitation (Co-IP) Kit, Protein A/G Magnetic Beads 

Image



此外,辉骏生物还可提供相关的技术服务:

服务项目

服务内容

RIP-qPCR

RIP调取诱饵蛋白、qPCR检测IP产物中待验证的RNA

Co-IP MS

样本质检、免疫共沉淀、质谱检测和生物信息学分析


Image

04

服务优势

01

十年服务经验,客户成果发表在Nature Methods,Oncogene,Cell Research等高水平期刊上。

02

对围绕RNA结合蛋白开展的整体课题提供全方位指导,包括上下游实验设计和结合蛋白的多方法验证等。

03

自有蛋白质组学平台,对RNA pull down产物这类微量蛋白的质谱鉴定有十足的把控能力,对后续的生物信息分析有独到的见解。

04

售后技术支持将一直保持到客户发表文章,确保客户安心进行下游实验及投稿。




辉骏生物,10年专注分子互作和蛋白研究,专业提供蛋白、核酸互作产品和技术服务。辉骏自有蛋白质检测平台,擅长互作产物等微量蛋白的质谱鉴定及生物信息分析

Image

Image


Image

电子邮箱

service@fitgene.com

联系电话

020-32053431 / 400-699-1663

联系地址

广州市黄埔区科学城广州国际企业孵化器D504-506

微信咨询

微信扫码一对一咨询

服务热线
4006991663
在线客服 返回顶部